Doktor Doktor Gezen Hasta KSÜ’de Bir Günde Sağlığına Kavuştu
Kahramanmaraş Sütçü İmam Üniversitesi (KSÜ) Tıp Fakültesi Radyoloji Ana Bilim Dalı Öğretim Üyeleri Doç. Dr. Nursel Yurttutan, Doç. Dr. Betül Kızıldağ ve ekibinin yaptığı başarılı operasyonla hasta bir günde sağlığına kavuştu.
Yaklaşık bir yıldır bacağındaki kemik tümörü nedeniyle yürümekte ve ayağını kullanmakta zorlanan 26 yaşındaki askeri personel A.A.,, tedavi için bugüne kadar hastane hastane dolaştı. Vücudundaki tümör nedeniyle birçok hastaneye giden ve gittiği hastanelerde bir türlü sonuca ulaşamayan A.A, Kahramanmaraş Sütçü İmam Üniversitesi Sağlık Uygulama ve Araştırma Hastanesine (Tıp Fakültesi Hastanesi) başvurdu. Geçirdiği başarılı operasyonla sağlığına kavuşan A.A, işlemin ertesi günü taburcu oldu.
“KEMİK TÜMÖRÜNÜ YÜKSEK ISIYLA YAKTIK”
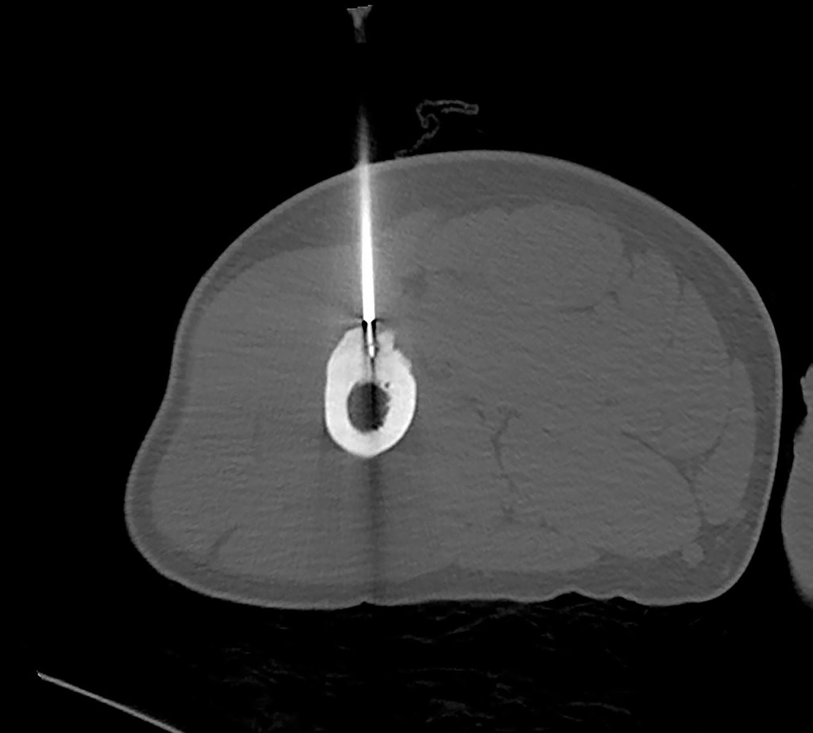
Operasyonla ilgili konuşan KSÜ Tıp Fakültesi Radyoloji Ana Bilim Dalı Öğretim Üyesi Doç. Dr. Nursel Yurttutan, şunları söyledi: “Hastamız aktif askerlik mesleğini yapan genç yaşlarda bir erkek. Uzun süredir var olan bacak ağrısı şikâyetiyle tetkik edilirken, uzuv kemiklerinden bir tanesinde küçük boyutta bir lezyon tespit edildi. Bu lezyon ‘osteoid osteoma’ adı ile bilinen iyi huylu bir kemik tümörü türü. Hastanın hayatını tehdit edici bir unsur değil ancak özellikle geceleri artan ağrı semptomu hastaların hayat kalitesini ciddi manada düşürmekte ve uzun süreli ağrı kesici kullanma ihtiyacı hastaları kronik dönemde ağrı kesici bağımlılığına sürüklemektedir. Bunun gibi bir takım kemik tümörlerinde cerrahi tedaviye alternatif olarak özellikle son yıllardaki tıp alanında hızlı gelişmeler sayesinde çeşitli uygulamalar yapılıyor. Biz hastamızda ‘radyofrekans ablasyon’ işlemini uyguladık. Bilgisayarlı tomografi eşliğinde milimetrik boyutta bir kesi alanından kılavuz iğnelerle girip milimetrik boyuttaki lezyon alanına komşu dokulara zarar vermeden ulaştık ve kemik tümörünü ‘radyofrekans ablasyon iğnesi’ ile yüksek ısıyla yaktık. KSÜ Tıp Fakültesi Ortopedi ve Anestezi Bölümlerinin desteği ile gerçekleştirdiğimiz işlemde genel anestezi ile uyutulmadan hastamızın sadece alt ekstremitelerine geçici olarak bölgesel anestezi ve analjezi uygulandı. Bir günlük takip sonrasında da hastamızı taburcu ettik. Literatürde bu işlemin teknik başarı oranının yüzde 95 ila 100 arasında olduğu bildirilmektedir. Üniversitemiz bünyesinde iyi huylu kemik tümörü tedavisi yanında uygun hasta gruplarında cerrahiye uygun olmayan ya da cerrahiye alternatif olabilecek çeşitli tümör tiplerinde radyofrekans ya da mikrodalga ile ablasyon işlemleri minimal invazif olarak, girişimsel radyoloji bölümü öğretim üyelerimiz tarafından gerçekleştirilmektedir.”
“GEZMEDİĞİM DOKTOR KALMADI”
Bir günde sağlığına kavuşan hasta A.A ise, “Hap kullanmadığım zaman ayağımı taşıyamıyordum. 1 yıldan beri bu hastalık için uğraşıyorum. Gezmediğim doktor kalmadı diyebilirim. Son çareyi burada buldum. Doktorlarımız sağ olsunlar bize çok yardımcı oldular. Operasyon kolay geçti. Ağrılarım dindi. Şimdi rahat yürüyebiliyorum” ifadelerini kullandı.